You are here
May 5, 2014
Drug Helps Obese Women with Blinding Disorder

A drug used to treat glaucoma, combined with a weight loss plan, improved vision for women with a disorder called idiopathic intracranial hypertension (IIH).
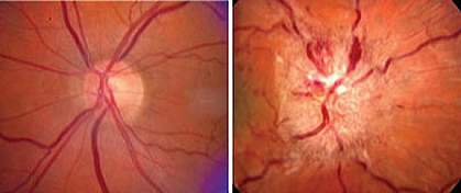
IIH, also called pseudotumor cerebri, most often affects overweight women of reproductive age. An estimated 100,000 Americans have it, and the number is rising as obesity becomes more widespread. IIH brings increased pressure within the fluid-filled spaces inside and around the brain. This pressure can cause swelling and damage to the optic nerves that connect the eyes to the brain.
Common symptoms of IIH are headaches and visual problems, including blind spots, poor side vision, double vision, and episodes of blindness. Up to about 1 in 10 women with IIH experience disabling vision loss. In severe cases, surgery may help to relieve pressure on the optic nerve.
A 5-10% weight reduction improves symptoms for many IIH patients, but can be difficult to achieve and maintain. Acetazolamide (Diamox)—a glaucoma drug that’s known to reduce fluid production in the brain—is often prescribed for IIH, but its effectiveness for this condition hasn’t been well studied.
To investigate, a team led by Dr. Michael Wall at the University of Iowa enrolled 165 participants, almost all women, with IIH and mild vision loss. The average body mass index (BMI) at enrollment was about 40 (30 or greater is considered obese). Participants were put on a dietary plan to reduce salt and calorie intake, along with a lifestyle modification program to encourage physical activity.
About half the participants were randomly assigned to receive acetazolamide. They were given the drug in increasing doses until they reached their maximally tolerated dosage, or up to 4 grams daily. The other half received a placebo in gradually increasing dosages. All were allowed to take headache medications throughout the trial. The study, which was funded by NIH’s National Eye Institute (NEI), appeared on April 23, 2014, in the Journal of the American Medical Association.
After 6 months, both groups had improved scores on visual field tests, a measure of side or peripheral vision. Those on acetazolamide improved by about twice as much as those on the weight reduction program alone. The drug also helped reduce swelling of the optic nerve. Participants receiving acetazolamide lost more weight than the placebo group during the 6 months (6.5% vs. 3.2%). In addition, the acetazolamide group reported greater improvements in daily function and quality of life. Both groups had a similar reduction in headaches.
Six treatment failures occurred in the placebo group (a substantial worsening of vision that required withdrawal from the trial) and one in the treatment group. Seven people on acetazolamide and one on placebo stopped taking medication because of perceived side effects. Three people on placebo were admitted to the hospital, compared to 6 on the drug. All side effects were reversed by stopping the drug or reducing the dosage.
“This study provides a much-needed evidence base for using acetazolamide as an adjunct to weight loss for treating IIH,” Wall says. “The drug has been around since the 1950s, and prior studies have found varying degrees of efficacy. One strength of our study is that we slowly introduced patients to the highest tolerated dose, in an attempt to maximize efficacy while limiting its side effects.”
Related Links
References: Effect of acetazolamide on visual function in patients with idiopathic intracranial hypertension and mild visual loss: the idiopathic intracranial hypertension treatment trial. NORDIC Idiopathic Intracranial Hypertension Study Group Writing Committee, Wall M, McDermott MP, Kieburtz KD, Corbett JJ, Feldon SE, Friedman DI, Katz DM, Keltner JL, Schron EB, Kupersmith MJ. JAMA. 2014 Apr 23-30;311(16):1641-51. doi: 10.1001/jama.2014.3312. PMID: 24756514.
Funding: NIH’s National Eye Institute.