You are here
August 18, 2014
Detecting Human Prion Disease
At a Glance
- New tests can rapidly and accurately diagnose Creutzfeldt-Jakob disease, an incurable and ultimately fatal neurodegenerative disorder.
- Early diagnoses of prion diseases could help prevent their spread and aid in the development of experimental treatments.

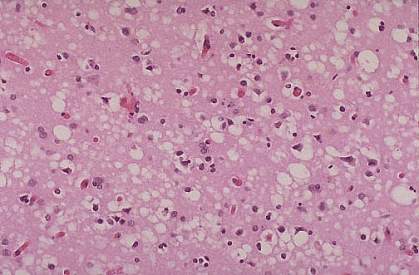
Prion diseases originate when, for reasons not fully understood, normally harmless prion proteins become abnormal, clump together, and accumulate in the brain. The diseases are characterized by sponge-like holes in brain tissue. They are notoriously difficult to diagnose, untreatable, and ultimately fatal.
Human prion diseases include sporadic, familial, and variant Creutzfeldt-Jakob disease (CJD). Sporadic CJD is the most common, affecting an estimated 1 person per million worldwide each year. Sporadic CJD is caused by the spontaneous transformation of normal prions into abnormal ones. Other prion diseases include scrapie in sheep and bovine spongiform encephalopathy (BSE), or mad cow disease, in cattle.
Previously, a definitive CJD diagnosis could only be made by testing brain tissue after death or by biopsy in living patients. In the August 7, 2014, issue of the New England Journal of Medicine, researchers at NIH’s National Institute of Allergy and Infectious Diseases (NIAID) and Italian colleagues described a less invasive test.
Dr. Gianluigi Zanusso and scientists at the University of Verona in Italy developed a way to collect olfactory neurons connected to the brain. The technique involves inserting a rigid fiber-optic rhinoscope into the patient’s nasal cavity. A sterile brush is then inserted alongside the scope. The brush is gently rolled along the mucosal surface to collect the neurons.
The scientists tested for the presence of prions using a technique called real-time quaking-induced conversion—or RT-QuIC. Dr. Byron Caughey’s group at NIAID, with collaborators at Nagasaki University, had previously developed the method to test cerebrospinal fluid for the presence of prions.
The researchers tested nasal samples from 31 people with sporadic CJD, 12 who had other neurologic diseases, and 31 with no neurologic disorder. The test correctly identified 30 of the 31 CJD patients (97% sensitivity) and correctly showed negative results for all 43 of the non-CJD patients (100% specificity). By comparison, tests using cerebral spinal fluid were 77% sensitive and 100% specific, and took twice as long to complete.
“This exciting advance, the culmination of decades of studies on prion diseases, markedly improves on available diagnostic tests for CJD that are less reliable, more difficult for patients to tolerate, and require more time to obtain results,” says NIAID Director Dr. Anthony S. Fauci. “With additional validation, this test has potential for use in clinical and agricultural settings.”
Another NIH-funded team, led by Dr. Claudio Soto of the University of Texas Health Science Center at Houston Medical School, developed a method for detecting prions in urine. They described the technique, called protein misfolding cyclic amplification, in an accompanying paper in the same journal. The test detected prions in 13 of 14 urine samples from patients with variant CJD—a type of CJD caused by exposure to BSE. The test didn’t detect prions in urine samples from healthy controls or from patients with other neurologic disorders, including sporadic or familial CJD. These results suggest that prions in urine are an exclusive feature of variant CJD.
The researchers will continue to develop and assess these tests in patients with CJD and other prion diseases.
Related Links
- Early Prion Detection May Be Possible
- Prion Diseases
- Prion Diseases (CDC)
- Creutzfeldt-Jakob Disease, Classic (CDC)
- Variant Creutzfeldt-Jakob Disease (CDC)
References: A test for Creutzfeldt-Jakob disease using nasal brushings. Orrú CD, Bongianni M, Tonoli G, Ferrari S, Hughson AG, Groveman BR, Fiorini M, Pocchiari M, Monaco S, Caughey B, Zanusso G. N Engl J Med. 2014 Aug 7;371(6):519-29. doi: 10.1056/NEJMoa1315200. PMID: 25099576.
Prions in the urine of patients with variant Creutzfeldt-Jakob disease. Moda F, Gambetti P, Notari S, Concha-Marambio L, Catania M, Park KW, Maderna E, Suardi S, Haïk S, Brandel JP, Ironside J, Knight R, Tagliavini F, Soto C. N Engl J Med. 2014 Aug 7;371(6):530-9. doi: 10.1056/NEJMoa1404401. PMID: 25099577.
Funding: NIH’s National Institute of Allergy and Infectious Diseases (NIAID), National Institute of Neurological Disorders and Stroke (NINDS), and National Institute on Aging (NIA); Fondazione Cariverona; Italian Ministry of Health; Creutzfeldt–Jakob Disease Foundation; Programma Master and Back–Percorsi di rientro; PrioNet Canada; Merck Serono; Associazione Italiana Encefalopatie da Prioni; Ministero dell'Università e della Ricerca; the Charles S. Britton Fund; the U.K. Department of Health; the Scottish Government; and donations to the NIAID Gift Fund from Mary Hilderman Smith, Zoë Smith Jaye, and Jenny Smith Unruh, in memory of Jeffrey Smith.