You are here
August 30, 2010
Array of Childhood Brain Disorders Linked
Mutations in a single gene can cause several types of developmental brain abnormalities that experts have traditionally considered different disorders, researchers report.
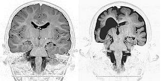
Malformations of cortical development (MCD) are severe abnormalities of the brain's outermost layer, the cerebral cortex, which normally contains complex folds that are densely packed with brain cells. Different types of MCD are recognized based on anatomy. They include microcephaly (small brain and head), schizencephaly (fluid filled clefts in the brain), pachygyria (a cortex with thicker, fewer folds) and polymicrogyria (cortex with many small folds). These conditions reflect a failure of brain cells to grow and reach their proper places during development. Children affected by MCD have severe intellectual disabilities and may not reach developmental milestones.
MCD can result from prenatal exposure to alcohol, drugs and some viruses. Genetic forms of MCD occur worldwide and in all kinds of families, but the highest incidence is among children born to parents who are related. Dr. Murat Gunel and his colleagues at Yale University teamed up with investigators in Turkey to search for genes linked to MCD. With a tradition of first- and second-cousin marriages, Turkey has a relatively high incidence of MCD. Their study was funded in part by NIH’s National Institute of Neurological Disorders and Stroke (NINDS), National Center for Research Resources (NCRR) and National Institute of Mental Health (NIMH).
The researchers used whole exome sequencing for their analysis. Rather than scanning a person's entire genome for mutations, this technique focuses on DNA's protein-coding bits, or exome, which makes up about 1.5% of the genome. The scientists began by studying 2 related children who were diagnosed with microcephaly.
As reported in the early online edition of Nature on August 22, 2010, both children had mutations in a gene called WDR62. The role of WDR62 is unknown, but related proteins regulate the processing of RNA (the intermediate between DNA and protein). When the researchers expanded their study to include children from 30 families with microcephaly, they found that many of the children had mutations in the same gene. All but one of the mutations were completely absent from about 1,300 Turkish and 1,500 Caucasian control chromosomes.
Brain imaging revealed that the children tended have other types of MCD superimposed with microcephaly. The researchers also found that, in the developing mouse and human brain, WDR62 is enriched in a band of brain tissue that contains neural stem cells.
Those results show that a single gene "is required for strikingly diverse aspects of human cortical brain development," Gunel says.
"This is going to change the way we approach single-gene disorders," Gunel adds. "Whole exome sequencing can be applied to dozens of other rare genetic disorders where the culprit genes have so far evaded discovery."
The researchers now plan to explore the function of WDR62 in mouse studies. They also plan to extend whole exome sequencing to hundreds more families with MCD.
