You are here
April 10, 2018
Artificial intelligence enhances MRI scans
At a Glance
- Researchers used machine learning to improve images from MRI scanners.
- After further development, this technique may enable better quality medical images for people needing MRI, PET, CT, and other scans.

Doctors rely on the results of MRI scans and other imaging tests to view inside a patient’s body. These pictures can help doctors find abnormal tissue. MRI scanners use radio waves and a strong magnet to generate signals from tissues in the body. A computer translates these signals into a detailed, 3-D picture that’s displayed on a screen. MRI is especially useful for imaging the brain.
MRI scans and other imaging methods may require the patient to hold very still for several minutes at a time to prevent aberrations and artifacts, or “noise.” Sometimes a second set of images is needed to determine whether a finding was an artifact or an actual sign of disease.
A research team led by Dr. Matthew S. Rosen of Massachusetts General Hospital, Martinos Center for Biomedical Imaging, and Harvard University set out to improve image reconstruction by harnessing the power of machine learning. The work, which was funded by several NIH components, was published on March 21, 2018, in Nature.
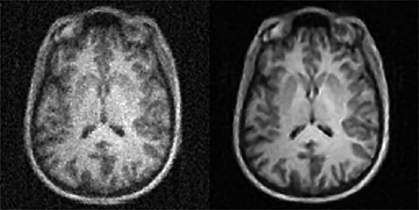
The researchers used recent advances in technology, such as more powerful graphical processing units in computers and artificial neural networks, to develop an automated reconstruction process. They named it AUTOMAP, for automated transform by manifold approximation. To train the neural network, the team used a set of 50,000 MRI brain scans from the NIH-supported Human Connectome Project.
The team then tested how well AUTOMAP could reconstruct data using a clinical, real-world MRI machine and a healthy volunteer. They found that AUTOMAP enabled better images with less noise than the conventional MRI. The signal-to-noise ratio was better for AUTOMAP than conventional reconstruction (21.6 vs. 17.6). AUTOMAP also performed better on a statistical measure of error known as root-mean-squared-error (6.7% versus 10.8%). In addition, AUTOMAP was faster than the manual tweaking now done by MRI experts.
“Since AUTOMAP is implemented as a feedforward neural network, the speed of image reconstruction is almost instantaneous—just tens of milliseconds,” Rosen says. “Some types of scans currently require time-consuming computational processing to reconstruct the images. In those cases, immediate feedback is not available during initial imaging, and a repeat study may be required to better identify a suspected abnormality. AUTOMAP would provide instant image reconstruction to inform the decision-making process during scanning and could prevent the need for additional visits.”
There are many potential applications of AUTOMAP. This artificial intelligence method could be applied to improving the quality and speed of various imaging methods, both medical and nonmedical.
—by Geri Piazza
Related Links
- Brain Scan May Predict Best Depression Treatment
- Tumor Imaging Technique Tracks Responses to Cancer Therapies
- Nanocomplexes Label Cells for MRI Tracking
- Contrast Agent Helps Surgeons Spot Cancerous Lung Nodules
- Looking Inside: Get the Facts About Radiation
- Magnetic Resonance Imaging (MRI)
- Advances in Medical Imaging
References: Image reconstruction by domain-transform manifold learning. Zhu B, Liu JZ, Cauley SF, Rosen BR, Rosen MS. Nature. 2018 Mar 21;555(7697):487-492. doi: 10.1038/nature25988. PMID: 29565357.
Funding: NIH Blueprint Initiative for Neuroscience Research and NIH’s National Institute of Biomedical Imaging and Bioengineering (NIBIB), National Institute of Mental Health (NIMH), and National Center for Research Resources (NCRR).