You are here
March 10, 2020
Bone-building protein delivered orally to mice using plants
At a Glance
- Diabetic mice fed plants engineered to carry a bone-building protein showed accelerated healing of bone fractures.
- The proof-of-concept study adds to recent findings showing that plants can be used to deliver protein-based drugs safely from the mouth to the bloodstream.
Modern technology has allowed many proteins normally produced by the human body to be manufactured for use as drugs. Examples of these therapies include insulin for diabetes and insulin-like growth factor-1 (IGF-1), which is used to treat some muscle diseases and help broken bones heal.
However, these drugs are expensive to produce, require refrigeration, and must be injected. All of these factors put them out of reach for much of the world’s population.
Researchers have been testing ways to deliver protein-based drugs orally. Such approaches require that the delivery system protect the drugs from the acidic environment of the stomach before releasing them into the intestines. From there, the drugs can be absorbed into the bloodstream.
A team led by Dr. Henry Daniell from the University of Pennsylvania has been testing plants as an oral delivery system for protein-based drugs. In a new study, they engineered the gene for a novel form of IGF-1 into the chloroplasts of lettuce plants. Chloroplasts, which convert sunlight into food for plants, pass through the stomach unharmed. They are then broken down by bacteria in the intestines.
The researchers made several additional improvements to their drug delivery system. Most important, they engineered the IGF-1 to be fused to pieces of other proteins that could help ferry it from cells in the intestines directly into the bloodstream. They also removed genes for antibiotic resistance that are used in the genetic engineering process.
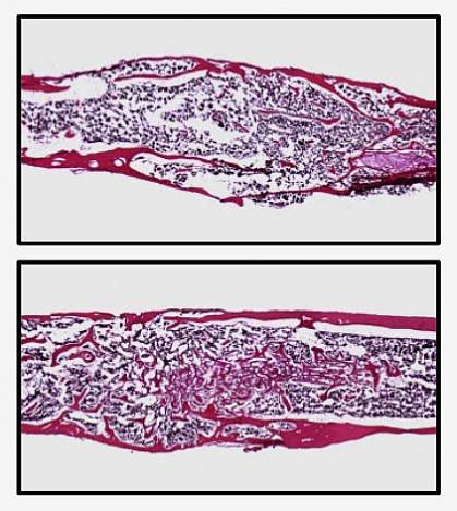
Lettuce plants carrying IGF-1 were then grown to maturity and dried for storage. The resulting product was tested in cells and in a mouse model of diabetic bone fracture. Diabetes can lead to poorer bone quality, raising the risk of fractures and slowing the ability to heal them. The study was funded by several NIH components. Results appeared in the March 2020 issue of Biomaterials.
IGF-1 was produced through subsequent generations of plants. After a freeze-drying process to form a powder, the protein maintained its structure and activity even when stored at room temperature for more than two and a half years.
The stored IGF-1 stimulated growth and maturation in skin and bone cell lines derived from both mice and humans. When the researchers fed the powder to mice, it boosted levels of IGF-1 in the bloodstream by about 2- to 3-fold on average. Increased amounts of the protein were also found in muscle tissue.
In collaboration with Dr. Shuying Yang’s team at the University of Pennsylvania, they tested the stored powder as a treatment for diabetic mice with bone fractures. Mice fed the product daily had increased bone volume, density, and area after 6 weeks of treatment compared with those that received a powder made from regular lettuce not carrying IGF-1.
“The current drug for diabetic patients with a fracture requires repetitive injections and hospital visits, and as a result patient compliance is low. Here we gave an oral drug once a day and saw healing to be greatly accelerated,” says Daniell.
An oral version of IGF-1 may also have potential for treating other bone conditions, such as osteoporosis and damage caused by cancer.
The team has been exploring other uses of this approach as well. In a second paper published in the same journal issue, they engineered lettuce plants to express two proteins used to treat pulmonary arterial hypertension (PAH). Mice with PAH fed the resulting powder had less enlargement of heart muscles, reduced blood pressure, and other improvements.
Based on these results, the team plans to request permission from the FDA to begin human trials of their plant-based delivery system.
—by Sharon Reynolds
Related Links
- Scientists Design Device for Oral Delivery of Injections
- Protective Liquid Enables Oral Insulin Delivery in Rats
- Encapsulated Cells Treat Diabetes in Mice
- Managing Diabetes
- Bone Basics
References: Oral delivery of novel human IGF-1 bioencapsulated in lettuce cells promotes musculoskeletal cell proliferation, differentiation and diabetic fracture healing. Park J, Yan G, Kwon KC, Liu M, Gonnella PA, Yang S, Daniell H. Biomaterials. 2020 Mar;233:119591. doi: 10.1016/j.biomaterials.2019.119591. Epub 2019 Nov 5. PMID: 31870566.
Investigational new drug enabling angiotensin oral-delivery studies to attenuate pulmonary hypertension. Daniell H, Mangu V, Yakubov B, Park J, Habibi P, Shi Y, Gonnella PA, Fisher A, Cook T, Zeng L, Kawut SM, Lahm T. Biomaterials. 2020 Mar;233:119750. doi: 10.1016/j.biomaterials.2019.119750. Epub 2019 Dec 30. PMID: 31931441.
Funding: NIH’s National Institute of General Medical Sciences (NIGMS), National Heart, Lung, and Blood Institute (NHLBI), National Institute of Dental and Craniofacial Research (NIDCR), and National Institute of Arthritis and Musculoskeletal and Skin Diseases (NIAMS).
