You are here
June 26, 2018
Breast cancer patient benefits from modified immunotherapy
At a Glance
- Researchers designed a novel approach to immunotherapy that led to the complete regression of breast cancer in a patient for whom all other treatments failed.
- This case study and other results from the ongoing trial show the potential of immunotherapy to target diverse tumors based on their DNA mutations.
Each cancer is driven by a unique combination of genetic changes, or mutations. That’s what makes many cancers so difficult to treat. Adoptive cell transfer (ACT) is a type of personalized immunotherapy treatment that aims to boost the immune system’s ability to fight cancer. First, tumor-killing immune cells called tumor-infiltrating lymphocytes (TILs) are harvested from the tumor. The cells that are most active against the cancer are grown into large batches in the lab and then infused back into the patient.
ACT has been effective in treating cancers that have many DNA mutations, such as melanoma (skin cancer). However, it’s been less effective with other common cancers, such as stomach, esophageal, ovarian, and breast cancers. This is because these cancers have fewer DNA mutations, making it difficult to identify and target them using ACT.
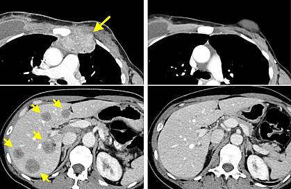
In an ongoing phase 2 clinical trial, a team led by Dr. Steven A. Rosenberg at NIH’s National Cancer Institute (NCI) has been developing a form of ACT using TILs that target specific tumor mutations. The team recently had success treating a patient with metastatic breast cancer who enrolled in the trial after receiving several treatments, including chemotherapy and hormonal treatments, that did not stop her cancer. The case report was published in Nature Medicine on June 24, 2018.
The researchers first sequenced both DNA and RNA from the patient’s tumors. They compared the results with sequences taken from her normal tissue. They were able to identify 62 mutations that were unique to the tumor cells.
The researchers developed a procedure to find TILs from the tumor that recognize the altered proteins made from the mutated genes. Using this approach, they found TILs that recognized four altered proteins. These TILs were grown into large batches in the lab and infused back into the patient. The patient was also given interleukin-2 to boost the TIL infusion. In addition, she was given a drug called pembrolizumab to prevent a process by which tumors inactivate TILs.
After this protocol, the patient’s cancer entirely disappeared. More than 22 months later, it hadn’t returned. The infused TILs were still found in the patient’s blood up to 17 months after the treatment.
“We’ve developed a high-throughput method to identify mutations present in a cancer that are recognized by the immune system,” Rosenberg says. “This research is experimental right now. But because this new approach to immunotherapy is dependent on mutations, not on cancer type, it is in a sense a blueprint we can use for the treatment of many types of cancer.”
Investigators have also had success using mutation-targeted TIL treatments for patients in the same trial with other cancers, including liver cancer and colorectal cancer. The trial is testing a series of different drugs and approaches to improve ACT for the treatment of a broad spectrum of cancers.
Related Links
- Biomarker Predicts Benefit from Immunotherapy
- Personalized Immunotherapy Treats Epithelial Cancer
- Technique Directs Immune Cells to Target Leukemia
- Immunotherapy Boosts Pediatric Cancer Survival
- New Method of Gene Therapy for Treating Advanced Melanoma
- Immunotherapy to Treat Cancer
- Biological Therapies for Cancer
- Understanding Breast Cancer: Early Detection, Improved Treatments Save Lives
- Immunotherapy Using Tumor Infiltrating Lymphocytes for Patients With Metastatic Cancer
References: Immune recognition of somatic mutations leading to complete durable regression in metastatic breast cancer. Zacharakis N, Chinnasamy H, Black M, Xu H, Lu YC, Zheng Z, Pasetto A, Langhan M, Shelton T, Prickett T, Gartner J, Jia L, Trebska-McGowan K, Somerville RP, Robbins PF, Rosenberg SA, Goff SL, Feldman SA. Nat Med. 2018 Jun;24(6):724-730. doi: 10.1038/s41591-018-0040-8. Epub 2018 Jun 4. PMID: 29867227.
Funding: NIH’s National Cancer Institute (NCI).
