You are here
December 4, 2018
Detecting prions in eyes
At a Glance
- Scientists detected abnormal prion proteins in multiple parts of the eye in people who died from Creutzfeldt-Jakob disease.
 - The results suggest that an eye test could be developed to detect prion disease before symptoms develop.
 
Prions are abnormal forms of natural proteins. The misshapen proteins collect in brain tissue and cause cells to die, leaving sponge-like holes in the brain. Prion diseases include “mad cow” disease in cattle and Creutzfeldt-Jakob disease (CJD) in people. People can get CJD by eating infected beef, but most cases develop spontaneously. This rare disease, which affects about one in a million people, is untreatable and fatal.
CJD is hard to diagnose because taking a biopsy of the brain is impractical. Previously, Dr. Byron Caughey’s group at NIH’s National Institute of Allergy and Infectious Diseases (NIAID), with collaborators at Nagasaki University, developed a sensitive method to test brain and spinal cord fluid for the presence of prions. The technique, called real-time quaking-induced conversion (RT-QuIC), is already used in clinical settings to diagnose CJD.
Recently, Caughey and colleagues at NIAID, the University of California at San Diego, and UC San Francisco set out to use RT-QuIC to measure the distribution and levels of prions in the eye. Two other NIH components, the National Institute of Neurological Disorders and Stroke (NINDS) and the National Institute on Aging (NIA), also funded the study. Results were published on November 20, 2018, in mBio.
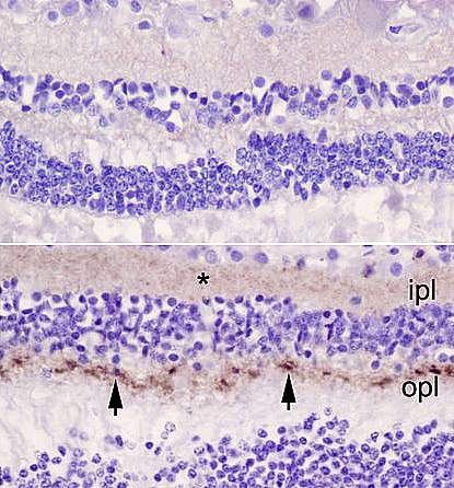
The investigators recruited 11 people with CJD along with six patients with other fatal diseases to serve as controls. All donated their eyes for postmortem analysis. The research team used RT-QuIC to measure prion levels in eight regions of the eye, including the retina, cornea, lens, fluid, muscle, and nerve. They found evidence for prions throughout the eyes of all 11 deceased patients but not in the six controls.
Finding prions in the eye suggests that this easily accessible tissue may be an avenue for early CJD diagnosis. It also raises questions about whether prions could be transmitted to a healthy person through clinical eye procedures if instruments or transplanted tissues have been contaminated. The findings add evidence to previous reports of disease transmission caused by prion-contaminated corneal transplants from undiagnosed CJD patients.
“By testing various components of the eye with the RT-QuIC assay, we found that prions can collect throughout the eye—including the fluid inside the eye,” Caughey says. “Our findings suggest that we may be able to develop methods of detecting prions in eye components even before symptoms develop, which may help prevent unwitting transmission of prions to others through contaminated medical instruments or through donor tissue.”
The researchers continue to assess accessible eye components or fluids that might be used for diagnostic tests. They also plan to use RT-QuIC to evaluate the eyes of patients with various brain disorders to look for the presence of other abnormal proteins, such as those involved in Parkinson’s and Alzheimer’s disease.
Related Links
- Prions Found in Skin of People with Creutzfeldt-Jakob Disease
 - New Method Accurately Detects Prions in Blood
 - Detecting Human Prion Disease
 - Early Prion Detection May Be Possible
 - Creutzfeldt-Jakob Disease Fact Sheet
 - Prion Diseases
 
References: Prion Seeds Distribute throughout the Eyes of Sporadic Creutzfeldt-Jakob Disease Patients. Orrù CD, Soldau K, Cordano C, Llibre-Guerra J, Green AJ, Sanchez H, Groveman BR, Edland SD, Safar JG, Lin JH, Caughey B, Geschwind MD, Sigurdson CJ. MBio. 2018 Nov 20;9(6). pii: e02095-18. doi: 10.1128/mBio.02095-18. PMID: 30459197.
Funding: NIH’s Intramural Research Program of the National Institute of Allergy and Infectious Diseases (NIAID), National Institute of Neurological Disorders and Stroke (NINDS), and National Institute on Aging; Michael J. Homer Family Fund; Equity in Brain Health at the Global Brain Health Institute; and donations to the NIAID Gift Fund from Mary Hilderman Smith, Zoë Smith Jaye, and Jenny Smith Unruh in memory of Jeffrey Smith.
