You are here
October 30, 2018
Immune culprits linked to inflammation and bone loss in gum disease
At a Glance
- Researchers identified specific immune cells that, when triggered by bacteria, drive gum disease.
- The findings point to these cells as potential treatment targets for the common dental condition.
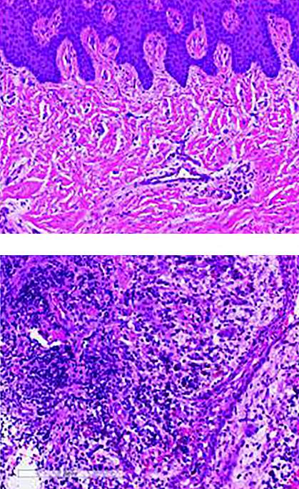
Periodontal (gum) disease affects nearly half of U.S. adults aged 30 years and older and 70% of adults 65 and older. In those affected, the tissues that surround the teeth become inflamed. In an advanced stage of the disease called periodontitis, the inflammation can lead to loss of bone and teeth.
An unhealthy balance of bacteria in the mouth has long been known to trigger inflammation in periodontal disease. Studies have suggested that an abnormal immune response also plays a role. Immune cells called T helper 17 (Th17) cells live in the mouth and have been shown to have both helpful and harmful effects. The cells protect against a fungal infection called oral thrush, but they’ve also been linked to periodontal disease, although the details had been unclear.
A research team led by Dr. Niki Moutsopoulos of NIH’s National Institute of Dental and Craniofacial Research (NIDCR) and Dr. George Hajishengallis of the University of Pennsylvania School of Dental Medicine set out to uncover the role of Th17 cells in periodontal disease. The results were published on October 17, 2018, in Science Translational Medicine.
The researchers observed that Th17 cells were much more prevalent in the gum tissue of people with periodontitis than in their healthy counterparts. The amount of Th17 cells correlated with disease severity. The team found similar results in a mouse model of periodontitis.
To see if oral microbes trigger the accumulation of Th17 cells, the researchers placed the mice on a broad-spectrum antibiotic cocktail. Eliminating oral microbes suppressed Th17 cells in the gums of mice with periodontitis while leaving other immune cells unaffected. These results suggest that an unhealthy bacterial population triggers a buildup of Th17 cells.
Next, the group wanted to know if blocking Th17 cells could reduce periodontal disease. When they prevented Th17 cell development in mice—whether via a drug or genetic engineering—the mice had reduced bone loss from periodontitis. Mice given the Th17-blocking drug also had reduced expression of genes involved in inflammation, tissue destruction, and bone loss.
Finally, the researchers studied a group of patients at the NIH Clinical Center who have reduced numbers of Th17 cells due to a gene defect. The scientists reasoned that not having Th17 cells should protect against gum disease. Their suspicions were confirmed. The patients were less susceptible to periodontal disease and had less inflammation and bone loss than age- and gender-matched volunteers.
“Our results suggest that Th17 cells are drivers of periodontal disease, providing the link between oral bacteria and inflammation,” Moutsopoulos says. “The findings also point to these cells as potential therapeutic targets and could help lead to better treatments for patients with this common disease.”
—by Catherine Evans, Ph.D.
Related Links
- Chewing Away at the Question of Oral Immunity
- Local Cells Defend the Mouth
- Gum Disease
- Don’t Toss the Floss! The Benefits of Daily Cleaning Between Teeth
- Keep Your Mouth Healthy: Oral Care for Older Adults
- NIH Human Microbiome Project
References: A dysbiotic microbiome triggers TH17 cells to mediate oral mucosal immunopathology in mice and humans. Dutzan N, Kajikawa T, Abusleme L, Greenwell-Wild T, Zuazo CE, Ikeuchi T, Brenchley L, Abe T, Hurabielle C, Martin D, Morell RJ, Freeman AF, Lazarevic V, Trinchieri G, Diaz PI, Holland SM, Belkaid Y, Hajishengallis G, Moutsopoulos NM. Sci Transl Med. 2018 Oct 17 ;10(463). pii: eaat0797. doi: 10.1126/scitranslmed.aat0797. PMID: 30333238.
Funding: NIH’s National Institute of Dental and Craniofacial Research (NIDCR), National Institute of Allergy and Infectious Diseases (NIAID), National Cancer Institute (NCI), and National Institute on Deafness and Other Communication Disorders (NIDCD); La Roche-Posay; CEDEF; Pasteur Mutuality Group Corporate Foundation; French Society of Dermatology; Philippe Foundation; and the Foundation for Medical Research.
