You are here
October 22, 2019
Lower magnetic field broadens MRI applications
At a Glance
- Scientists developed a high-performance, low magnetic-field MRI system that improves image quality of the lungs and other internal body structures.
- The technology could be used for image-guided procedures and other new clinical applications in the future.
MRI is a non-invasive imaging technology that produces 3D images of structures in the body. It can help with disease detection and diagnosis as well as treatment monitoring.
MRI uses strong magnets and radio waves to generate signals from tissues within the body. The MRI machine detects these signals, and software uses the information to create 3D pictures.
The trend in recent years has been to develop MRI systems with higher magnetic field strengths to boost the signal intensity. However, higher magnetic fields introduce image distortions and additional costs. They also limit what the machines can be used for. For example, certain metal devices, such as tools used during heart procedures, can’t be used with high-magnetic-field systems because they heat up.
A team of researchers led by Drs. Adrienne Campbell-Washburn and Robert S. Balaban at NIH’s National Heart, Lung, and Blood Institute (NHLBI) modified a commercial MRI system with a magnetic field strength of 1.5 tesla (T) to operate at 0.55 T. They maintained all the modern hardware and software needed for high quality images. The study was published in the November 2019 issue of Radiology.
The researchers first heat tested 16 commercial guidewires and catheter devices used for cardiovascular interventions that are considered unsafe for 1.5 T scanners. Nine of these devices, and a pacemaker, did not heat up to unsafe temperatures in the 0.55 T system. The team then successfully used these devices during MRI-guided heart catherization in seven study participants. They found no adverse events.
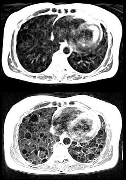
The team also compared lung images taken in patients with lymphangioleiomyomatosis, a rare disease that creates cysts in the lung. Images of the cysts and the surrounding tissue taken with the lower magnetic field were clearer than those taken at 1.5 T. The system not only improved lung imaging, but also was more sensitive to changes in image contrast caused by oxygen, providing a unique view of the distribution of this vital molecule in the body.
Because MRI systems with lower magnetic field can be more cost-effective, the team also tested routine imaging of brain, abdomen, spine, and heart in healthy volunteers and patients with disease. The image quality was in line with current standards. Future studies will be needed to fully assess the system’s diagnostic abilities.
“We can start thinking about doing more complex procedures under MRI guidance now that we can combine standard devices with good quality cardiac imaging,” says Campbell-Washburn.
“We continue to explore how MRI can be optimized for diagnostic and therapeutic applications,” Balaban adds.
Related Links
- MRI Glove Enables Imaging of Moving Joints
- Artificial Intelligence Enhances MRI scans
- Brain Scans Reveal Marker for Severe MS
- Nanocomplexes Label Cells for MRI Tracking
- Magnetic Resonance Imaging (MRI)
- Understanding Medical Scans
References: Opportunities in Interventional and Diagnostic Imaging by Using High-performance Low-Field-Strength MRI. Campbell-Washburn AE, Ramasawmy R, Restivo MC, Bhattacharya I, Basar B, Herzka DA, Hansen MS, Rogers T, Bandettini WP, McGuirt DR, Mancini C, Grodzki D, Schneider R, Majeed W, Bhat H, Xue H, Moss J, Malayeri AA, Jones EC, Koretsky AP, Kellman P, Chen MY, Lederman RJ, Balaban RS. Radiology. 2019 Nov;293(2):384-393. doi: 10.1148/radiol.2019190452. Epub 2019 Oct 1. [Epub ahead of print]. PMID: 31573398.
Funding: NIH’s National Heart, Lung, and Blood Institute (NHLBI).
