You are here
October 20, 2006
Misfolded Protein Clumps Common to Dementia, Lou Gehrig’s Disease
Scientists have identified a misfolded, or incorrectly formed, protein common to two devastating neurological diseases: frontotemporal dementia (FTD) and amyotrophic lateral sclerosis (ALS, also known as Lou Gehrig’s disease). Certain forms of FTD, ALS and possibly other neurological diseases may involve this misfolded protein.
After Alzheimer’s disease, FTD is the most common cause of dementia in people under age 65. People with FTD might show uninhibited and socially inappropriate behavior, changes in personality and, in late stages, loss of memory, motor skills and speech.
ALS is a progressive disease of the brain and spinal cord nerve cells that control movement. Over time, walking, eating, speaking and breathing become more difficult in this fatal disease.
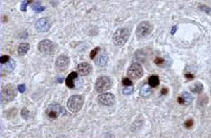
Some people with ALS also have FTD, and some with FTD also develop ALS, suggesting that common mechanisms might underlie the two diseases. Scientists have found that people with ALS and some forms of FTD have clumps of protein called inclusion bodies form in their brain cells and neurons. Other neurodegenerative disorders such as Alzheimer’s disease have been tied to similar clumps of misfolded proteins. Understanding why they form in ALS and FTD and what they’re made of, however, has been elusive. Dr. Virginia Lee and Dr. John Trojanowski of the University of Pennsylvania, with funding by NIH’s National Institute on Aging (NIA), led an international team of scientists to try to solve that mystery.
In the Oct. 6, 2006, issue of Science, the researchers explain that a protein called TDP-43 is a major part of the clumps that form in ALS and the most common form of FTD. Although its precise role is not well understood, TDP-43 is a major component of the inclusion bodies in these diseases.
“This exciting basic science discovery provides the first biochemical link between a dementia — FTD — and a motor neuron disease — ALS,” says NIA director Dr. Richard J. Hodes. “It will advance understanding of the pathological processes of FTD and ALS, and possibly of other neurological disorders.”
Learning more about the role TDP-43 plays in FTD and ALS will hopefully point researchers toward potential therapies for these — and possible other — neurodegenerative diseases.
