You are here
October 31, 2011
Perinatal Antidepressant May Affect Brain Development
Rats exposed to an antidepressant just before and after birth had altered behaviors and substantial brain abnormalities. The findings raise questions about how perinatal antidepressants might influence brain development in people.
Serotonin — a chemical messenger in the brain — plays an important role in brain development. Antidepressants called selective serotonin reuptake inhibitors (SSRIs) work by boosting serotonin activity in the brain. However, recent studies have found associations between women taking SSRIs during pregnancy and potential development problems in their offspring, including an increased risk for autism.
A team led by Dr. Rick Lin of the University of Mississippi Medical Center, Jackson, used rats as a model to investigate the effects of SSRIs on brain development. The scientists gave citalopram, an SSRI, to male and female rat pups prenatally and postnatally and examined their brains and behavior as they grew up. The work was supported by several NIH institutes, including the National Institute of Mental Health (NIMH). Results appeared online before print on October 24, 2011, in the Proceedings of the National Academy of Sciences.
The researchers found that long-distance connections between the 2 hemispheres of the brain showed stunted growth and degeneration. The animals also became excessively fearful when faced with new situations and failed to play normally with peers — behaviors reminiscent of autism.
The abnormalities were more pronounced in male than female rats, just as autism affects 3-4 times more boys than girls. Male, but not female, SSRI-exposed rat pups abnormally froze when they heard an unfamiliar tone and balked at exploring their environment in the presence of unfamiliar objects or scents. These behaviors persisted into adulthood. The male pups were also more likely to shun normal juvenile play behavior.
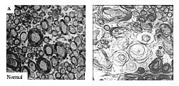
The brains of perinatally exposed animals showed evidence of neurons firing out of sync and other electrophysiological abnormalities. A key brain serotonin circuit called the raphe system showed evidence of stunted development. The raphe system is known to shape the developing brain during the critical period when the rat pups were exposed to the drug. The researchers also discovered problems in the structure responsible for communications between the brain's left and right hemispheres, called the corpus collosum. This damage was 3 times worse in male than in female pups.
“Our findings underscore the importance of balanced serotonin levels—not too high or low — for proper brain maturation,” Lin says.
“While one must always be cautious extrapolating from medication effects in rats to medication effects in people, these new results suggest an opportunity to study the mechanisms by which antidepressants influence brain and behavioral development,” says NIMH Director Dr. Thomas R. Insel. “These studies will help to balance the mental health needs of pregnant mothers with possible increased risk to their offspring.”
