You are here
September 15, 2008
Prions Cross Species Barrier in the Laboratory

Researchers have gotten infectious prions from one species to turn normal prion proteins from a different species into infectious ones in a test tube. The technique will prove a valuable tool for understanding how prions cross species barriers.
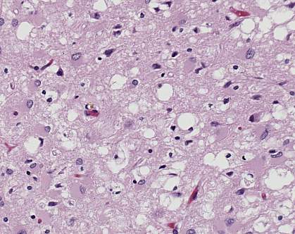
The normal prion protein is found on the surface of many types of cells, mostly brain cells. Scientists don't understand what normal prion protein does, but most believe that abnormal prions, which clump together and accumulate in brain tissue, are the cause of brain damage in a group of rare, fatal brain diseases called transmissible spongiform encephalopathies (TSE). TSEs include bovine spongiform encephalopathy (BSE, or mad cow disease), scrapie in sheep and Creutzfeldt-Jakob disease in humans.
TSEs have been known to cross species barriers. For example, BSE has been transmitted to humans. The process isn't well-understood, but it's thought to be controlled by the structure and folding of the prion protein. Once the abnormal form of the protein, called PrPSc, is in the body, it somehow induces normal prion protein, PrPC to misfold.
A team of scientists led by Dr. Claudio Soto at the University of Texas Medical Branch set out to investigate how infectious prions from one species convert prions from another species into an infectious form. Their work was supported by NIH's National Institute of Neurological Disorders and Stroke (NINDS), National Institute of Aging (NIA) and National Institute of Allergy and Infectious Diseases (NIAID).
The researchers used a technique previously developed in their laboratory called protein misfolding cyclic amplification (PMCA). PMCA involves incubating prions in the test tube, using sound waves to free PrPSc after it's caused other prions to misfold, and then repeating the cycle several times. In the September 4, 2008, edition of the journal Cell, the researchers outlined how they used the technique to cross the species barrier between mice and hamsters, 2 species whose prions don't normally infect the other.
The researchers first mixed mouse prions with hamster brain extract. They found that levels of hamster PrPSc rose as PrPC fell. In contrast, even after 20 rounds of PMCA, no hamster PrPSc formed in the samples without mouse prions added. A close analysis of the resulting prions showed that the technique had created a unique hamster prion strain.
When the researchers inoculated hamsters with the new prion, it produced disease in all the animals with characteristics of hamster scrapie, including hyperactivity, motor impairment, head wobbling, muscle weakness and weight loss. The hamster brains showed typical signs of hamster scrapie, although they had a different set of characteristics than previously known forms.
Mixing hamster prions with healthy mouse brain extract produced similarly infectious prions—although the brains of mice infected by the new prions didn't look like those infected by any previously known mouse strains.
This accomplishment could have profound implications for public health. A better understanding of how prions cross species barriers will help researchers design and test ways to block the conversion of normal prions by infectious proteins from other species.
—by Harrison Wein, Ph.D.